Smile Showcase

Step into our Smile Showcase and see how our expert care and cutting-edge techniques transform smiles and lives.

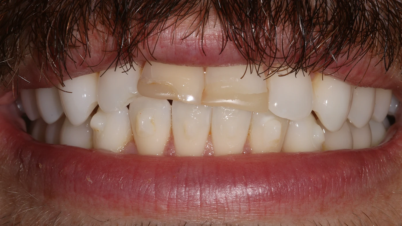
Porcelain Veneers And Aligners
Before Before Image
After Image After
Before Before Image
After Image After

Schedule a Visit Today

Take the first step towards a healthier, brighter smile. We offer flexible scheduling options to fit your busy life.

Book My Appointment
Schedule Image